膀胱前立腺尿道を一括切除した尿路上皮癌の犬の1例
動物がんクリニック東京 池田雄太はじめに
犬の尿路上皮癌(移行上皮癌)は膀胱・前立腺・尿道に発生する腫瘍で最も多いタイプであり、全悪性腫瘍中の約2%を占める。治療方法には各種抗がん剤と非ステロイド性消炎剤(NSAIDs)を併用した内科療法や外科療法、放射線療法がある。膀胱や前立腺に発生する場合、尿管の開口部である膀胱三角領域に浸潤することが多く、そのため膀胱の部分切除は適応外となるため、膀胱全摘出や膀胱・前立腺・尿道一括切除が必要となる。また、犬の尿路上皮癌は転移性も非常に高いことから、外科治療単独では転移制御が困難であることが多いため、化学療法を併用する。今回膀胱頸部から前立腺に発生した犬の尿路上皮癌において、膀胱前立腺尿道切除を実施し、術後に分子標的薬であるラパチニブを併用し1年以上の長期生存している症例を報告する。
症例
トイプードル 9歳 オス去勢済み 主訴:1カ月前から頻尿、残尿感がありかかりつけ医院で超音波検査を行ったところ、膀胱‐前立腺に腫瘤を認めた
既往歴:特になし
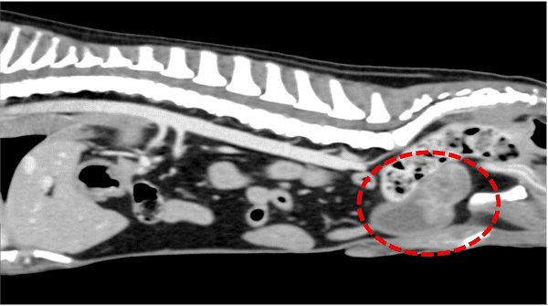
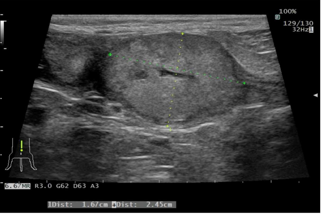
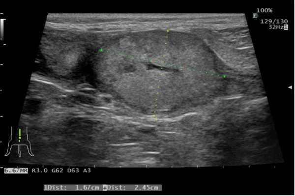
体重5.0kg(BCS3/5) 体温38.9℃ 心拍数114回/分 呼吸数30回/分 一般状態 :活動性100% 食欲100% 意識レベル 正常 一般身体検査 :特筆すべき異常所見なし 血液化学検査:異常所見なし 血液凝固系検査:TAT含め正常値 胸部X線検査:特記すべき異常所見なし 超音波検査:膀胱では膀胱頸部全周において腫瘤病変を認め、前立腺に連続する。この腫瘤は前立腺に主座し膀胱内へ伸展している形態である。(図1)前立腺の被膜構造は正常であり、腫瘤の膀胱外への浸潤は認められない。また周囲リンパ節は正常構造である。 尿道カテーテル採尿:尿沈渣では異型性を強く伴う大型の上皮系細胞が多数集塊を形成して認められる。
診断
前立腺原発 尿路上皮癌うたがい →外力カテーテル法により得られた尿沈渣をBRAF遺伝子変異検査に外注 →BRAF遺伝子変異陽性 第14病日 CT撮影実施 (図2) →リンパ節、肺、その他臓器への転移所見なし
治療
第24病日手術を実施した。胸骨剣状突起から恥骨前縁までの腹部正中切開を行い膀胱、前立腺へアプローチした。左右の尿管を確保し、膀胱移行部を露出後膀胱の近位で左右尿管を離断した。その後尿管にカテーテルを挿入し保持した。膀胱と前立腺、近位尿道を周囲脂肪組織から剥離し、前後膀胱動脈、前立腺動脈を処理し、最後に前立腺から十分距離を確保して尿道を骨盤腔内で結紮離断した。その後、左右尿管を腹壁に造瘻した孔を貫通させ、包皮外側の皮膚に縫合した。(図3,4)術後は左右尿管移設部位にカテーテルを留置し、入院管理を行った。入院5日目にカテーテルを抜去し、尿管移設部位からの尿排出を確認した後に退院となった。病理検査結果は、尿路上皮癌(移行上皮癌)完全切除であった。術後14日目に抜糸を行い、同日ラパチニブを開始した。またNSAIDsとしてフィロコキシブを併用した。 経過は良好であり、ラパチニブ開始から6ヵ月後に再発や転移が認められなかったことから、ラパチニブとフィロコキシブを中止し、現在術後約1年が経過するが再発や転移は認められていない。
考察
犬の尿路上皮癌は周囲への浸潤性、転移性ともに高い高悪性度の癌の一つである。本症例のようにCTで転移所見がない場合には根治の可能性があり、積極的手術の対象となる。一方尿路上皮癌により、尿管閉塞や尿道閉塞に至った場合も救命または緩和のために外科的介入を行う。一方で発見時に転移または膀胱外の周囲組織へ浸潤している症例も多いことから本症例のような積極的外科治療が適応となるケースの選択は難しい。また尿路上皮癌の治療法は現在、選択肢が多くNSAIDs単独療法を初めとした内科治療では、NSAIDs単独で生存期間中央値が約6ヵ月、NSAIDsと各種化学療法を併用して約10-12ヵ月という報告が一般的であり、有効な治療である。一方近年報告された膀胱全摘出+術後のラパチニブ療法では全生存期間中央値が480日と以前の報告に比べて有意に長く、有効な治療方法であると報告されており、本症例も1年以上の長期生存が得られている。しかし、膀胱全摘出-尿管移設の手術では術後合併症として、腎盂腎炎や慢性腎臓病などが20-50%の確率で発生していることから、術後の自宅でのケアや定期検診が重要であり、またこのような積極的治療を行っても約60-70%の症例では転移や再発が認められることから、事前の十分なインフォームとどのような治療を選択するかご家族と検討する必要がある。


