鼻腔リンパ腫の猫の1例
動物がんクリニック東京 池田雄太はじめに
鼻腔リンパ腫は猫の鼻腔内腫瘍の中で最も多く約70%を占め、またリンパ腫の次に多いのは腺癌である。症状は片側性の鼻汁、鼻出血が最も多くその他顔面変形、眼球の突出、鼻閉音、努力呼吸、食欲不振などが認められる。治療法には抗がん剤による化学療法または放射線療法がある。今回猫の鼻腔内リンパ腫において放射線治療とその後の化学療法を実施し良好に経過している1例を報告する。
症例
猫ロシアンブルー 去勢雄 13歳1か月 主訴:左鼻からの鼻汁が慢性経過をしており、他院でCTおよび鼻腔生検を実施。大細胞性B細胞リンパ腫と診断済みである。 既往歴:甲状腺機能亢進症
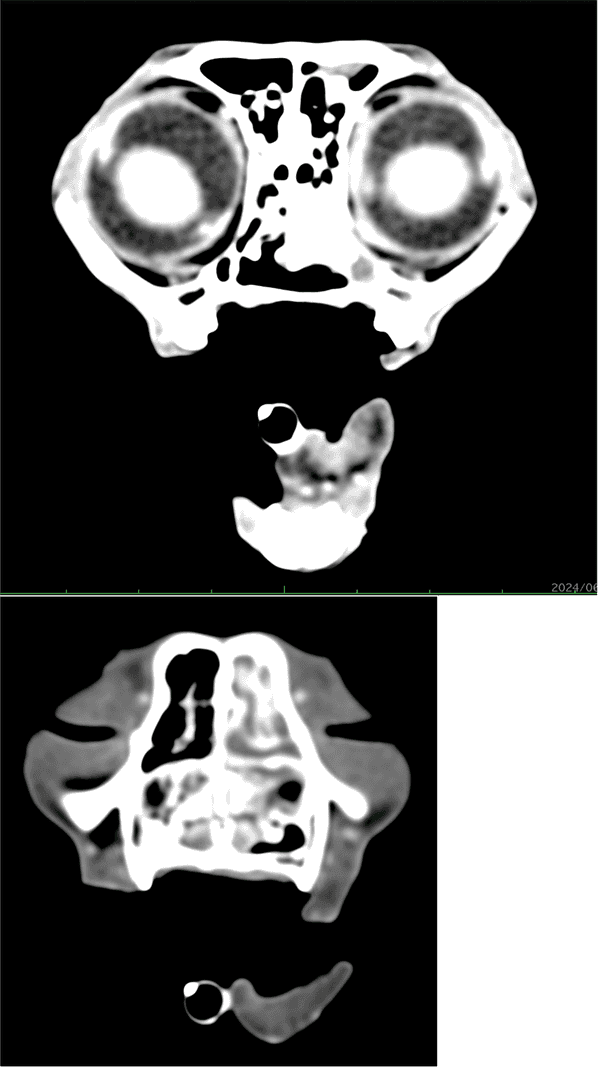
体重3.28kg(BCS3/5) 体温38.7℃ 心拍数160回/分 呼吸数28回/分 一般状態 :活動性100% 食欲100% 意識レベル 正常 一般身体検査 :左鼻より黄色鼻汁あり 左目の流涙あり 血液化学検査:特筆すべき異常所見なし 頭部CT(図1参照) 腹部超音波検査:左右腎臓の腎結石あり、その他諸臓器に特筆すべき異常所見なし
診断
鼻腔内リンパ腫 大細胞B細胞性 鼻腔限局
治療
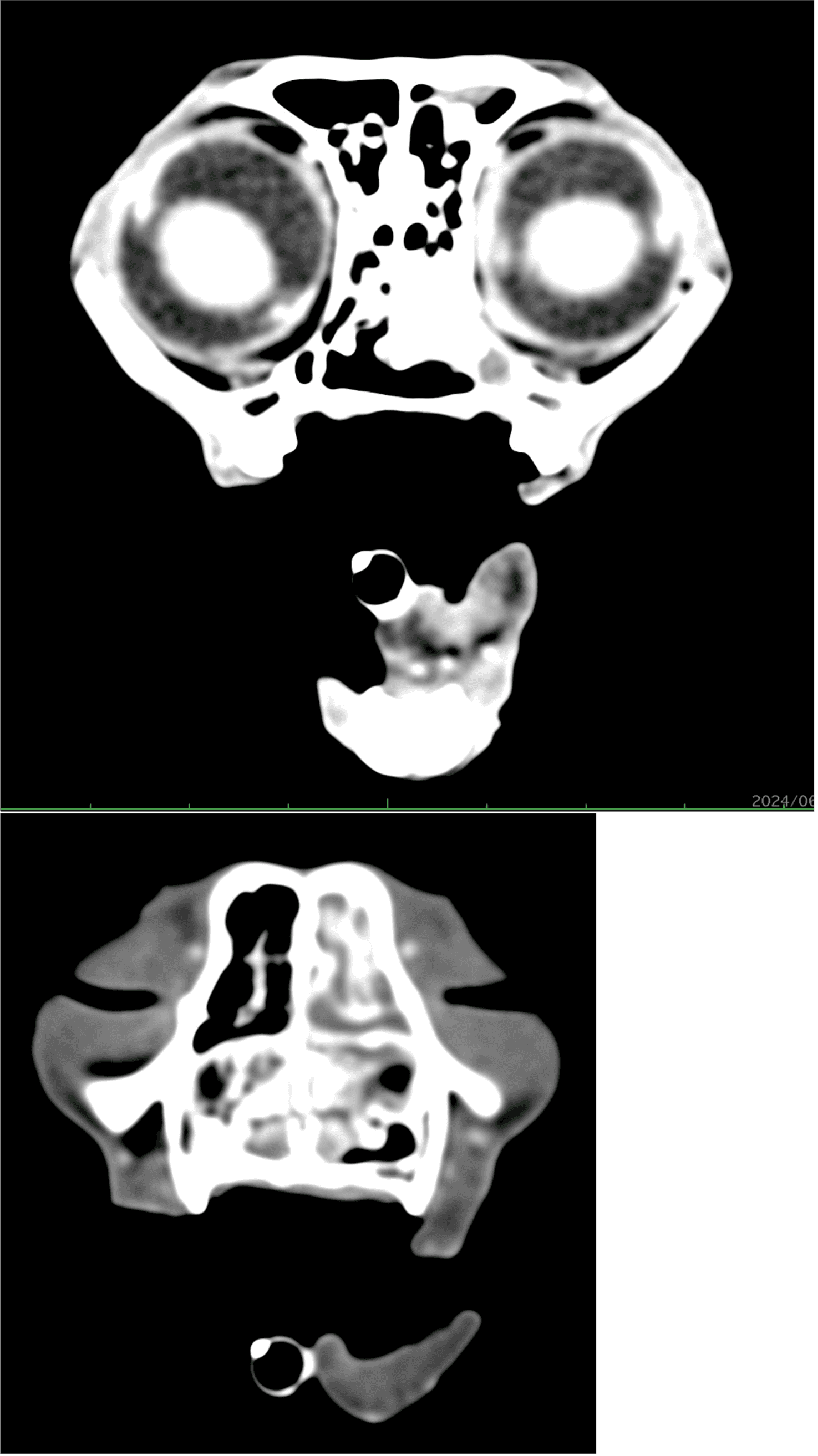
第5病日より放射線治療を実施した。照射プロトコルは1回8Gy 週1回 合計4回照射 総線量32Gyとなった 放射線治療の終了後、治療評価のためCT撮影を実施した。照射後CTでは大部分の病変は消失しているが、一部でびまん性病変の残存が疑われた。(図2)以上の所見より、放射線治療後残存したリンパ腫に対して化学療法を実施した。化学療法プロトコルは改変型COP療法とし、3ヵ月間継続した。治療後の経過は良好であり、現在化学療法終了から1年3ヵ月経過するが再発や転移は認められず、寛解を維持している。
考察
猫の鼻腔内に限局した鼻腔リンパ腫で最も有効な治療法は放射線治療である。放射線治療後の生存期間中央値は1-3年と報告されている、一方化学療法も有効であり、生存期間中央値は6-12ヵ月と放射線治療よりもやや短い傾向があるが、両方の治療で有意差はないという報告もある。また鼻腔リンパ腫は腎臓をはじめとした他の臓器へ浸潤していくことも頻繁に認められることから、放射線治療後も必要に応じて化学療法を併用することが重要である。放射線治療においては、腫瘍の範囲に応じて照射可能な装置や照射プロトコルが異なるため、放射線腫瘍科の獣医師に意見を求めるべきである。


